Аденома молочной железы
Аденома, или фиброаденома молочной железы — это доброкачественное новообразование эпителиального строения. Чаще всего она встречается у пациенток моложе 30 лет. Обычно речь идет об одиночном, плотном образовании, оно имеет эластичную консистенцию и обладает подвижностью. Однако примерно в 15% случаев аденома множественная и может наблюдаться в обеих молочных железах.
Аденома не сопровождается болевыми ощущениями и практически не склонна к присоединению воспаления, однако лечение проводить важно. Для диагностики и лечения вы можете обратиться к специалистам — врачам-маммологам клиники “Евромед”.
Преимущества
Особенности диагностики и лечения
- визуализирующееся подкожное образование молочной железы;
- прощупываемое плотное образование по типу плотного безболезненного узла;
- подвижность образования при пальпации.
Узел может увеличиваться при беременности и грудном вскармливании довольно быстро. Важно отметить, что в развитии фиброаденомы имеют значение гормональные факторы, поэтому к симптомам могут присоединяться и другие, не касающиеся здоровья молочных желез напрямую.


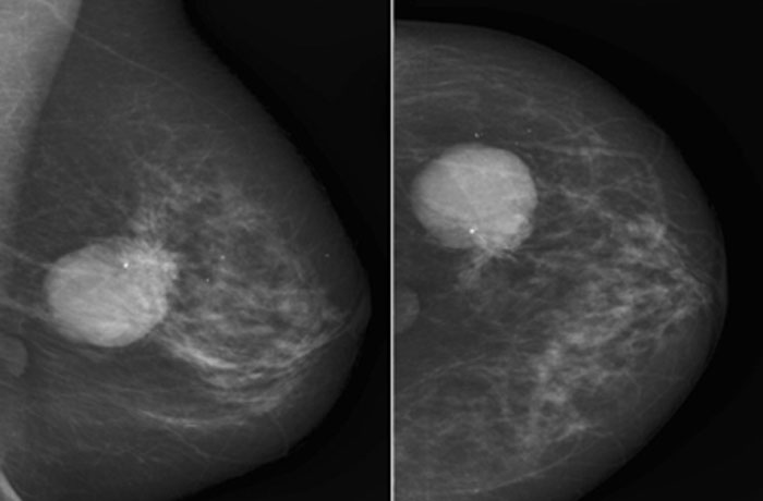
- УЗИ молочных желез и/или маммография;
- тонкоигольная аспирационная биопсия;
- лабораторные исследования на гормоны — пролактин, половые гормоны;
- КТ и МРТ по показаниям.
По результатам исследования врач поставит точный диагноз. Тактику лечения специалист выберет с учетом морфологического типа опухоли, индивидуальных особенностей здоровья. Консервативно аденомы не лечатся, поэтому подлежат оперативному удалению.


Иногда целесообразно выбрать выжидательную тактику, например, в пубертатном периоде, менопаузе. Для образований менее 1 см выполняется тонкоигольная биопсия или трепанбиопсия. Динамическое наблюдение предусматривает прохождение маммографии раз в год и УЗИ дважды в год, важно также 1-2 раза в год посещать врача-маммолога.
Высококвалифицированные специалисты клиники “Евромед” готовы подробно ответить на интересующие вопросы и помочь в диагностике и лечении аденомы молочной железы.
Запишитесь на консультацию
Оставьте заявку и мы свяжемся с вамине в Новосибирске?